Οδοντογενείς Κύστεις

Εντός των ιγμορείων άντρων μπορεί συχνά να παρατηρηθούν οδοντικής αιτιολογίας παθολογικές οντότητες όπως είναι οι Oδοντογενείς Kύστεις.

Οι συχνότεροι τύποι οδοντογενών κύστεων που απαντώνται σε στενή σχέση με τα ιγμόρεια άντρα είναι:
Ας δούμε μια ενδιαφέρουσα περίπτωση….
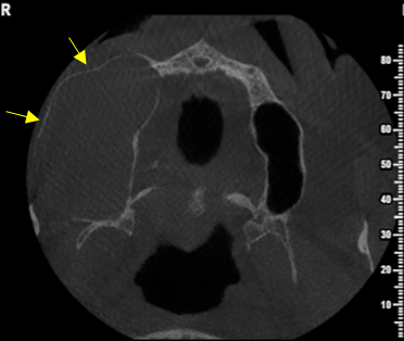
Περίπτωση εκτεταμένης οδοντοφόρου κύστης σχετιζόμενης με τον έγκλειστο 3ο γομφίο 18 όπου παρατηρείται εμπλοκή του δεξιού ιγμορείου άντρου σε γυναίκα ασθενή ηλικίας 45 ετών.
Η κύστη έχει προκαλέσει ιδιαίτερα εκτεταμένη υπέγερση του εδάφους του ιγμορείου άντρου προβάλλοντας εντός αυτού και καταλαμβάνοντας μεγάλο τμήμα της αεροφόρου του κοιλότητας.
Παρατηρείται επίσης λέπτυνση και ήπια έκπτυξη του πλαγίου τοιχώματος του ιγμορείου άντρου.

Ας δούμε άλλη μία ενδιαφέρουσα περίπτωση….

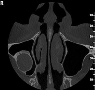
Περίπτωση ιδιαίτερα εκτεταμένης υπολειμματικής κύστης που καταλαμβάνει σχεδόν όλο το δεξιό ημιμόριο της άνω γνάθου εμπλέκοντας και το δεξιό ιγμόρειο άντρο σε γυναίκα ασθενή ηλικίας 75 ετών.
Η κύστη καταλαμβάνει πλήρως τη φατνιακή ακρολοφία στην οπίσθια δεξιά περιοχή της γνάθου και έχει προκαλέσει ιδιαίτερα εκτεταμένη υπέγερση του εδάφους του ιγμορείου άντρου προβάλλοντας εντός αυτού και καταλαμβάνοντας μεγάλο τμήμα της αεροφόρου του κοιλότητας.

Παρατηρείται επίσης ιδιαίτερα εκτεταμένη έκπτυξη και λέπτυνση του πλαγίου τοιχώματος του ιγμορείου άντρου, καθώς και των συμπαγών πετάλων της φατνιακής ακρολοφίας.

Η στενή γειτνίαση της φατνιακής ακρολοφίας της άνω γνάθου με τα ιγμόρεια άντρα έχει ως αποτέλεσμα συχνά οδοντογενούς αιτιολογίας βλάβες, όπως κύστεις, να προβάλλουν εντός αυτών.
Οι δισδιάστατες απεικονίσεις, όπως η πανοραμική ακτινογραφία, συνήθως αδυνατούν να απαντήσουν στο εάν η βλάβη προέρχεται από το ιγμόρειο άντρο ή από τα δόντια της άνω γνάθου.
Σε αυτές τις περιπτώσεις η Υπολογιστική Τομογραφία Κωνικής Δέσμης (CBCT) μπορεί να βοηθήσει καταλυτικά στη διαφοροδιάγνωση αυτών των βλαβών αλλά και να αποκαλύψει με λεπτομέρεια την έκταση και τα όρια της βλάβης.

Μοιραστείτε το!

Lorem ipsum dolor sit amet, consectetur adipiscing elit. Ut elit tellus, luctus nec ullamcorper mattis, pulvinar dapibus leo.