Αισθητικές επεμβάσεις στην Τραχηλοπροσωπική Χώρα

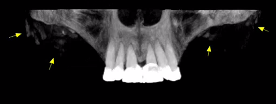
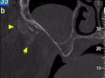
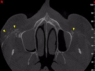
Συχνά σε εξετάσεις Οδοντιατρικής Υπολογιστικής Τομογραφίας (CBCT) παρατηρούμε υπέρπυκνες δομές οι οποίες βρίσκονται στα μαλακά μόρια και επί τα εκτός των γνάθων, που η εικόνα τους δεν παραπέμπει σε κάποια γνωστή παθολογία της τραχηλοπροσωπικής χώρας.

Σε όλες τις προηγούμενες περιπτώσεις οι παρατηρούμενες υπέρπυκνες δομές δεν είναι τίποτε άλλο παρά υλικά αισθητικών επεμβάσεων!

Οι αισθητικές επεμβάσεις στην περιοχή του προσώπου αποτελούν ιδιαίτερα συνήθη κλινική πράξη με αποτέλεσμα να απαντώνται όλο και συχνότερα στις μέρες μας.
Η έγχυση ενέσιμου υαλουρονικού οξέος καθώς και η τοποθέτηση νημάτων αποτελούν κάποιες μόνο από τις πιο διαδεδομένες τεχνικές που χρησιμοποιούνται.
Απεικονιστικά παρατηρούνται πολλαπλές συρρέουσες υπέρπυκνες δομές μικρών διαστάσεων εντός των μαλακών μορίων και πλησίον του εξωτερικού τους περιγράμματος.

Συνήθης εντόπιση:

Εκτός από τις παραπάνω ελάχιστα επεμβατικές τεχνικές, στις απεικονίσεις της τραχηλοπροσωπικής χώρας μπορεί να συναντήσουμε και τα αποτελέσματα πιο επεμβατικών τεχνικών, όπως διάφορες μορφές πλαστικής χειρουργικής με χρήση ενθεμάτων σιλικόνης.

Ένα παράδειγμα είναι η γενειοπλαστική, όπως φαίνεται στην παρακάτω περίπτωση.

Η γνώση της ακτινογραφικής εικόνας των υλικών που χρησιμοποιούνται στις διάφορες αισθητικές επεμβάσεις του προσώπου κρίνεται όλο και πιο απαραίτητη τόσο για τον Γναθοπροσωπικό Ακτινολόγο όσο και για τον κλινικό Οδοντίατρο, καθώς η συχνότητα εφαρμογής τους αυξάνεται όλο και περισσότερο.

Μοιραστείτε το!

Lorem ipsum dolor sit amet, consectetur adipiscing elit. Ut elit tellus, luctus nec ullamcorper mattis, pulvinar dapibus leo.