Υποτροπιάζον Αδαμαντινοβλάστωμα

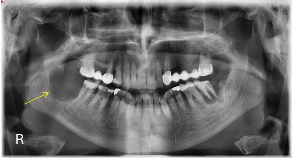
Άνδρας ασθενής 77 ετών εμφάνισε προ 4 ετών ενδοστοματικό ογκίδιο για την ακτινολογική διερεύνηση του οποίου συστήθηκε η πραγματοποίηση πανοραμικής ακτινογραφίας. Στην πανοραμική ακτινογραφία παρατηρήθηκε η παρουσία ευμεγέθους ακτινοδιαυγαστικής αλλοίωσης η οποία απεικονίζεται στην περιοχή της αναφερόμενης ενδοστοματικής βλάβης.

Πανοραμική Ακτινογραφία 12/2020

Ο ασθενής παραπέμφθηκε από τον οδοντίατρό του για περαιτέρω αξιολόγηση των ευρημάτων με Υπολογιστική Τομογραφία Κωνικής Δέσμης (CBCT).

Το CBCT αποκάλυψε την παρουσία εκτεταμένης υπόπυκνης αλλοίωσης στην οπίσθια δεξιά περιοχή της κάτω γνάθου οπισθίως των υπαρχόντων δοντιών η οποία είχε προκαλέσει εκτεταμένη έκπτυξη, λέπτυνση και λύση των συμπαγών πετάλων, ενώ είχε απωθήσει και τον πόρο του κάτω φατνιακού νεύρου προς τα κάτω.

CBCT 12/2020

Στην ακτινογραφική διαφορική διάγνωση της βλάβης μπορούν να συμπεριληφθούν βλάβες όπως:

Η βλάβη αντιμετωπίστηκε χειρουργικά και τα απεικονιστικά ευρήματα σε συνδυασμό με την ιστοπαθολογική εξέταση της βλάβης αποκάλυψαν ότι επρόκειτο για Αδαμαντινοβλάστωμα.

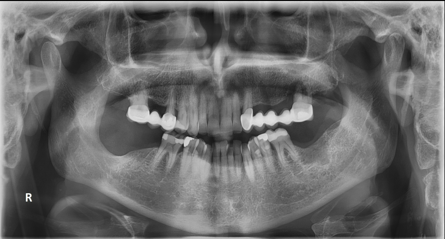
Μετά την επιτυχή χειρουργική αντιμετώπιση της βλάβης ο ασθενής τέθηκε σε 6μηνιαίο απεικονιστικό επανέλεγχο με πανοραμική ακτινογραφία.

Σε κάθε επανεξέταση παρατηρούνταν το παραμένον οστικό έλλειμμα στη θέση της προϋπάρχουσας βλάβης το οποίο είχε ομαλά όρια χωρίς την παρουσία πλέον παθολογικών ευρημάτων.

Πανοραμική Ακτινογραφία 09/2021
Πανοραμική Ακτινογραφία 03/2022
Τον Φεβρουάριο του 2024 ο ασθενής παραπέμφθηκε για CBCT άνω και κάτω γνάθου προκειμένου να προχωρήσει σε οδοντιατρικές εργασίες. Στο CBCT παρατηρήθηκε η παρουσία μικρού μεγέθους υπόπυκνης αλλοίωσης στο πρόσθιο χείλος του δεξιού κλάδου της κάτω γνάθου η οποία είχε προκαλέσει λύση των συμπαγών πετάλων.
Όπως αποδείχθηκε επρόκειτο για Αδαμαντινοβλάστωμα, και συνεπώς υποτροπή της αρχικής βλάβης που πρωτοεμφανίστηκε προ 3ετίας!

Τι είναι όμως ο αδαμαντινοβλάστωμα και ποια τα χαρακτηριστικά του;

Η αντιμετώπιση του αδαμαντινοβλαστώματος είναι χειρουργική. Ο τακτικός απεικονιστικός επανέλεγχος της περιοχής είναι απαραίτητος καθώς συχνά υποτροπιάζει.

Μοιραστείτε το!

Lorem ipsum dolor sit amet, consectetur adipiscing elit. Ut elit tellus, luctus nec ullamcorper mattis, pulvinar dapibus leo.